義大癌治療醫院癌症腹膜轉移 治療成果登上國際舞臺 多元整合治療經驗 展現醫療照護新進展
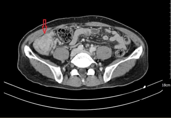
【記者吉雄世/高雄報導】66 歲的陳先生自去年八、九月起,陸續出現全身倦怠、食慾不振、腹脹與腹瀉等情形,短短兩個月內體重減少約6公斤,因身體不適至義大癌治療醫院一般外科趙頌慈醫師門診求診,經檢查後發現,血紅素偏低並合併營養狀況不佳,影像檢查發現罹患多發性結腸癌,且腫瘤已擴散至腹腔,對病人與家屬而言是噩耗。

經義大癌治療醫院跨科團隊整體評估後,依其臨床狀況規劃分階段治療,先安排化學治療合併標靶藥物。治療過程中,陳先生雖出現輕微疲倦,但腹脹、腹瀉等不適症狀逐漸緩解,整體身體狀況趨於穩定。
在腫瘤反應與身體條件允許下,醫療團隊進一步評估後,建議接受「腹腔高壓氣霧化學治療(PIPAC)」。此為以腹腔鏡進行的微創治療方式,將化療藥物於高壓環境中霧化,使藥物能較均勻分佈於腹腔內,作為部分腹膜癌病人之治療選項之一。陳先生完成一個療程、共三次「腹腔高壓氣霧化學治療(PIPAC)」 後,臨床症狀與檢查結果顯示病情獲得控制,相關評估指標亦呈現改善趨勢。

後續在審慎評估風險與效益後,醫療團隊為陳先生安排腫瘤減積手術(CRS),並合併術中腹腔溫熱化學治療(HIPEC)。手術過程中,醫師清除腹腔內可見病竈,並以溫熱化療藥物進行腹腔循環灌注,期望降低殘留腫瘤負荷。術後恢復過程順利,並持續接受門診追蹤與治療照護。陳先生食慾、體力與日常活動能力逐步改善,生活品質也獲得提升。家屬表示,感謝醫療團隊在治療過程中提供清楚說明與完整照護,讓全家能安心面對治療歷程。
義大癌治療醫院腹膜癌治療團隊長期投入臨床照護與研究,是南臺灣少數能整合腹腔高壓氣霧化學治療(PIPAC)、腫瘤減積手術(CRS)與 腹腔溫熱化學治療(HIPEC) 等多元治療策略的團隊之一。相關研究成果亦持續發表於國際期刊,顯示台灣在腹膜癌治療領域的臨床經驗與學術能量。
義大癌治療醫院趙頌慈醫師表示,未來將持續以實證醫學為基礎,結合跨科團隊合作,提供病人合適且個別化的治療選擇,陪伴病人與家屬共同面對治療挑戰。
