喉嚨痛三個月竟是癌症警訊 義大醫療跨團隊即時診斷下咽癌 整合手術與免疫治療 拓展頭頸癌治療思維
【記者吉雄世/高雄報導】 一名 55 歲男性,近三個月來反覆出現喉嚨疼痛與吞嚥困難,最初以為是一般感冒或喉嚨發炎,陸續於就醫多次,症狀卻未明顯改善。長期不適導致進食受限、體力下降,日常生活與工作均受到影響,後續轉至義大醫院就診。
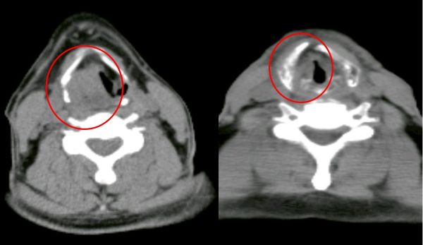
經耳鼻喉科醫師安排內視鏡檢查,於下咽部位發現可疑病灶,切片檢查後確診為下咽癌,並透過電腦斷層等影像檢查綜合評估,判定為第三期。突如其來的診斷結果,讓病人與家屬感到憂心。

義大醫療頭頸癌跨科團隊隨即召開討論會議,整合耳鼻喉科、頭頸外科、血液腫瘤科及影像醫學等專業,依患者病況擬定治療計畫,並向病人與家屬充分說明可行的治療選項。義大癌治療醫院血液腫瘤科主任謝孟哲醫師表示,近年國際研究針對特定條件的頭頸癌患者,探討於手術前後搭配免疫治療的可能性,相關證據仍持續累積中,臨床上需審慎評估病人整體狀況後再行規劃。
經團隊評估後,該名病人先接受兩次術前免疫治療,治療期間未出現明顯不適,原本的吞嚥疼痛也有所緩解,進食與體力狀況獲得改善。隨後由頭頸外科團隊再次評估身體條件,確認達到手術安全標準,後續將安排下咽腫瘤切除手術,並依術後恢復情形持續追蹤與治療。
義大醫療頭頸癌團隊透過跨專科合作模式,從診斷、治療到術後追蹤提供整合式照護,讓患者能在同一體系內完成相關醫療安排,減少往返不同院所的負擔。謝孟哲主任也提醒,若出現持續三週以上的喉嚨疼痛、吞嚥困難、聲音沙啞或口腔異常等症狀,應及早就醫檢查,由專業醫師評估是否需進一步檢查。
義大醫療表示,未來將持續透過跨團隊合作,依循醫療專業與實證基礎,精進頭頸癌照護流程,陪伴患者在治療過程中獲得合適且周全的醫療支援。
